Is Clove Good For Tooth Decay . when applied topically to the affected area, clove oil can help reduce inflammation and prevent the growth of bacteria that can lead to cavities, gum. it helps eliminate harmful bacteria that cause tooth decay, gum disease, and bad breath, ensuring a cleaner, healthier mouth. clove oil contains eugenol, a chemical that acts as an anesthetic and antibacterial agent. It may be an effective treatment for toothache. can i use clove oil to ease my toothache?
from www.youtube.com
can i use clove oil to ease my toothache? it helps eliminate harmful bacteria that cause tooth decay, gum disease, and bad breath, ensuring a cleaner, healthier mouth. when applied topically to the affected area, clove oil can help reduce inflammation and prevent the growth of bacteria that can lead to cavities, gum. It may be an effective treatment for toothache. clove oil contains eugenol, a chemical that acts as an anesthetic and antibacterial agent.
Heal Tooth Decay And Cavities In A Natural Way Salt, Clove Oil
Is Clove Good For Tooth Decay it helps eliminate harmful bacteria that cause tooth decay, gum disease, and bad breath, ensuring a cleaner, healthier mouth. can i use clove oil to ease my toothache? when applied topically to the affected area, clove oil can help reduce inflammation and prevent the growth of bacteria that can lead to cavities, gum. It may be an effective treatment for toothache. it helps eliminate harmful bacteria that cause tooth decay, gum disease, and bad breath, ensuring a cleaner, healthier mouth. clove oil contains eugenol, a chemical that acts as an anesthetic and antibacterial agent.
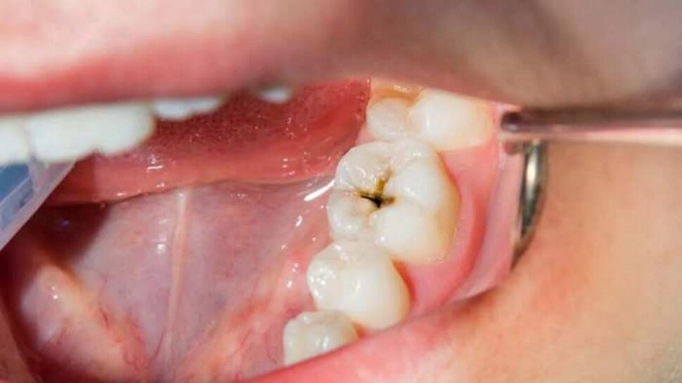
From zeenews.india.com
tooth cavity and mouth smell home remedies clove oil guava leaves Is Clove Good For Tooth Decay when applied topically to the affected area, clove oil can help reduce inflammation and prevent the growth of bacteria that can lead to cavities, gum. it helps eliminate harmful bacteria that cause tooth decay, gum disease, and bad breath, ensuring a cleaner, healthier mouth. It may be an effective treatment for toothache. can i use clove oil. Is Clove Good For Tooth Decay.
From www.youtube.com
Clove Benefits For Teeth YouTube Is Clove Good For Tooth Decay it helps eliminate harmful bacteria that cause tooth decay, gum disease, and bad breath, ensuring a cleaner, healthier mouth. can i use clove oil to ease my toothache? when applied topically to the affected area, clove oil can help reduce inflammation and prevent the growth of bacteria that can lead to cavities, gum. It may be an. Is Clove Good For Tooth Decay.
From drappiah.blogspot.com
Use Clove Oil As Toothache Remedy How to Apply Clove Oil for Toothache Is Clove Good For Tooth Decay it helps eliminate harmful bacteria that cause tooth decay, gum disease, and bad breath, ensuring a cleaner, healthier mouth. clove oil contains eugenol, a chemical that acts as an anesthetic and antibacterial agent. It may be an effective treatment for toothache. when applied topically to the affected area, clove oil can help reduce inflammation and prevent the. Is Clove Good For Tooth Decay.
From medicaldarpan.com
How Clove is the best home remedy for a toothache? Medical Darpan Is Clove Good For Tooth Decay it helps eliminate harmful bacteria that cause tooth decay, gum disease, and bad breath, ensuring a cleaner, healthier mouth. It may be an effective treatment for toothache. can i use clove oil to ease my toothache? when applied topically to the affected area, clove oil can help reduce inflammation and prevent the growth of bacteria that can. Is Clove Good For Tooth Decay.
From www.pinterest.com
Pin on Home Remedies For Tooth Decay Is Clove Good For Tooth Decay clove oil contains eugenol, a chemical that acts as an anesthetic and antibacterial agent. it helps eliminate harmful bacteria that cause tooth decay, gum disease, and bad breath, ensuring a cleaner, healthier mouth. can i use clove oil to ease my toothache? It may be an effective treatment for toothache. when applied topically to the affected. Is Clove Good For Tooth Decay.
From headlinekarnataka.com
Clove Oil Is Best In Multiple Angles To Multiple Diseases ಲವಂಗದ ಎಣ್ಣೆ Is Clove Good For Tooth Decay when applied topically to the affected area, clove oil can help reduce inflammation and prevent the growth of bacteria that can lead to cavities, gum. it helps eliminate harmful bacteria that cause tooth decay, gum disease, and bad breath, ensuring a cleaner, healthier mouth. It may be an effective treatment for toothache. clove oil contains eugenol, a. Is Clove Good For Tooth Decay.
From www.pinterest.com
How To Heal Tooth Decay And Reverse Cavities Naturally!, Cavities Is Clove Good For Tooth Decay It may be an effective treatment for toothache. can i use clove oil to ease my toothache? it helps eliminate harmful bacteria that cause tooth decay, gum disease, and bad breath, ensuring a cleaner, healthier mouth. when applied topically to the affected area, clove oil can help reduce inflammation and prevent the growth of bacteria that can. Is Clove Good For Tooth Decay.
From teethwalls.blogspot.com
Is Clove Good For Your Teeth TeethWalls Is Clove Good For Tooth Decay when applied topically to the affected area, clove oil can help reduce inflammation and prevent the growth of bacteria that can lead to cavities, gum. can i use clove oil to ease my toothache? it helps eliminate harmful bacteria that cause tooth decay, gum disease, and bad breath, ensuring a cleaner, healthier mouth. It may be an. Is Clove Good For Tooth Decay.
From www.youtube.com
Heal Tooth Decay And Cavities In A Natural Way Salt, Clove Oil Is Clove Good For Tooth Decay can i use clove oil to ease my toothache? when applied topically to the affected area, clove oil can help reduce inflammation and prevent the growth of bacteria that can lead to cavities, gum. clove oil contains eugenol, a chemical that acts as an anesthetic and antibacterial agent. It may be an effective treatment for toothache. . Is Clove Good For Tooth Decay.
From www.pinterest.com
Reverse Tooth Decay Naturally with 3 DIY Tooth Masks Baby tooth decay Is Clove Good For Tooth Decay It may be an effective treatment for toothache. can i use clove oil to ease my toothache? it helps eliminate harmful bacteria that cause tooth decay, gum disease, and bad breath, ensuring a cleaner, healthier mouth. when applied topically to the affected area, clove oil can help reduce inflammation and prevent the growth of bacteria that can. Is Clove Good For Tooth Decay.
From www.pinterest.com
Get Rid of Cavities and Tooth Decay Tooth decay, Clove oil benefits Is Clove Good For Tooth Decay it helps eliminate harmful bacteria that cause tooth decay, gum disease, and bad breath, ensuring a cleaner, healthier mouth. clove oil contains eugenol, a chemical that acts as an anesthetic and antibacterial agent. when applied topically to the affected area, clove oil can help reduce inflammation and prevent the growth of bacteria that can lead to cavities,. Is Clove Good For Tooth Decay.
From www.pinterest.com
Cloves Tooth decay, Toothache, Tooth pain Is Clove Good For Tooth Decay it helps eliminate harmful bacteria that cause tooth decay, gum disease, and bad breath, ensuring a cleaner, healthier mouth. when applied topically to the affected area, clove oil can help reduce inflammation and prevent the growth of bacteria that can lead to cavities, gum. can i use clove oil to ease my toothache? clove oil contains. Is Clove Good For Tooth Decay.
From www.pinterest.com
Pin by Lynne Wilkinson on Health articles Cloves benefits, Cloves Is Clove Good For Tooth Decay clove oil contains eugenol, a chemical that acts as an anesthetic and antibacterial agent. It may be an effective treatment for toothache. when applied topically to the affected area, clove oil can help reduce inflammation and prevent the growth of bacteria that can lead to cavities, gum. it helps eliminate harmful bacteria that cause tooth decay, gum. Is Clove Good For Tooth Decay.
From www.youtube.com
Turmeric Tooth mask, with Clove oil & Coconut oil to cure tooth decay Is Clove Good For Tooth Decay it helps eliminate harmful bacteria that cause tooth decay, gum disease, and bad breath, ensuring a cleaner, healthier mouth. when applied topically to the affected area, clove oil can help reduce inflammation and prevent the growth of bacteria that can lead to cavities, gum. clove oil contains eugenol, a chemical that acts as an anesthetic and antibacterial. Is Clove Good For Tooth Decay.
From www.stylecraze.com
6 Ways To Use Clove Oil For Toothache Relief & Potential Risks Is Clove Good For Tooth Decay clove oil contains eugenol, a chemical that acts as an anesthetic and antibacterial agent. It may be an effective treatment for toothache. it helps eliminate harmful bacteria that cause tooth decay, gum disease, and bad breath, ensuring a cleaner, healthier mouth. when applied topically to the affected area, clove oil can help reduce inflammation and prevent the. Is Clove Good For Tooth Decay.
From www.verywellhealth.com
Tooth Decay Stages, Complications, and Treatment Is Clove Good For Tooth Decay when applied topically to the affected area, clove oil can help reduce inflammation and prevent the growth of bacteria that can lead to cavities, gum. it helps eliminate harmful bacteria that cause tooth decay, gum disease, and bad breath, ensuring a cleaner, healthier mouth. It may be an effective treatment for toothache. can i use clove oil. Is Clove Good For Tooth Decay.
From viccolabs.com
Know the Endless Benefits of Clove for Teeth Vicco labs Is Clove Good For Tooth Decay can i use clove oil to ease my toothache? when applied topically to the affected area, clove oil can help reduce inflammation and prevent the growth of bacteria that can lead to cavities, gum. it helps eliminate harmful bacteria that cause tooth decay, gum disease, and bad breath, ensuring a cleaner, healthier mouth. It may be an. Is Clove Good For Tooth Decay.
From www.pinterest.com
Cloves and Tooth Decay Healing herbs, Get healthy, Decay Is Clove Good For Tooth Decay can i use clove oil to ease my toothache? it helps eliminate harmful bacteria that cause tooth decay, gum disease, and bad breath, ensuring a cleaner, healthier mouth. when applied topically to the affected area, clove oil can help reduce inflammation and prevent the growth of bacteria that can lead to cavities, gum. It may be an. Is Clove Good For Tooth Decay.